Alexandria, Virginia Cosmetic Dentist

Dentists for Invisalign, General Dentistry, and More in Alexandria

Everyone deserves to have a smile they can feel proud of. If you want to improve the appearance of your smile, if you need to correct your bite or fix damaged teeth, or if you simply need to maintain good oral health, Alexandria Dental Art is here to meet your needs. We can provide the dental services you need, including:

Alexandria Dental Art

Invisalign

We can help you straighten crooked or misaligned teeth discreetly without the need for uncomfortable metal braces.

Alexandria Dental Art

Cosmetic Dentistry

By correcting imperfections and providing teeth whitening services, we can help you improve the look and feel of your smile.

Alexandria Dental Art

Full Mouth Rehabilitation

We can provide you with a complete smile makeover, ensuring that you can feel confident when interacting with others.

Alexandria Dental Art

Oral Surgery

We can restore missing teeth and address other issues through dental implants, bone grafts, and other surgical procedures.

Alexandria Dental Art

General Dentistry

Through teeth cleanings, X-rays, preventative care, fillings, and more, we can help you maintain good overall oral health.

Alexandria Dental Art

Emergency Dental Services

When you need immediate help to address dental trauma or other issues, we can provide you with same-day treatment.

Invisalign

Crooked teeth can not just affect your appearance and confidence, but they can also cause problems for your overall dental health. Issues such as an overbite or underbite can affect your ability to chew food or speak correctly, and your teeth may wear down and become damaged. However, you may not want to deal with the discomfort of braces. Fortunately, there is another alternative. Our Invisalign treatments can help you straighten your teeth through the use of comfortable clear plastic aligners that are custom-made to provide you with the smile you want.

Alexandria Dental Art
Alexandria Dental Art

Cosmetic Dentistry

When you are looking to brighten your smile or give your teeth a more uniform appearance, our cosmetic dentistry services can meet your needs. We can use dental bonding to correct issues such as cracks or chips. Veneers can give you a seamless smile while providing strength and protection. Our teeth whitening services can address stains or discoloration, providing you with fast results. We are ready to give you the smile you are looking for.

General Dentistry

We can help you maintain the health of your teeth through regular checkups, cleanings, and preventative care. We can address tooth decay through fillings, and if necessary, we can perform more extensive procedures, such as root canals or installing crowns and bridges. Our goal is to provide you with comprehensive care while maintaining comfort at all times. We can also provide pediatric dentistry services to help children maintain good oral health as they grow up.

Alexandria Dental Art
Alexandria Dental Art
Alexandria Dental Art
Alexandria Dental Art
Alexandria Dental Art
Alexandria Dental Art
Alexandria Dental Art

Testimonials

Alexandria Dental Art

“I had a great experience here. Everyone was so kind and answered all my questions. They were able to get be on plan for my dental health. I am excited to come back for my next appointment.”

Via Google Reviews

Alexandria Dental Art

“I’ve been coming here for about 2 years and absolutely loved my experience here. From being greeted kindly, to finding everything spotless clean, to getting top notch treatment from Dr. Madani-…”

Via Google Reviews

Alexandria Dental Art

“My husband and I both have been coming to this dental practice for several years and have found them very thorough, helpful and responsive.”

Via Google Reviews

Alexandria Dental Art

“Dr. Madani is hands down the best !! She restored my smile and brought it back to life I highly recommend her to everyone across the country”

Via Google Reviews

Alexandria Dental Art

From The Moment You Arrive, We Welcome You Like Family

We believe dental visits shouldn’t feel clinical or sterile. Our spa-like waiting area and treatment rooms are designed to calm your nerves and elevate your comfort. From complimentary refreshments to aromatherapy amenities, every detail is curated to transform your dental experience into something you’ll actually look forward to. This is how dental care should feel.

  • Complimentary coffee, tea, and cold beverage station
  • Fresh snacks available for you and companions
  • Massage dental chairs with full-body relaxation
  • Aromatherapy heated neck pillows during treatment
  • Sony noise-cancelling headphones with entertainment
  • and more…

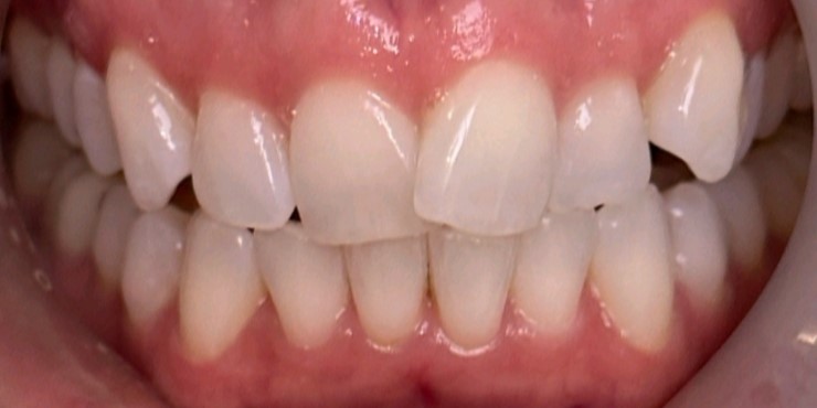
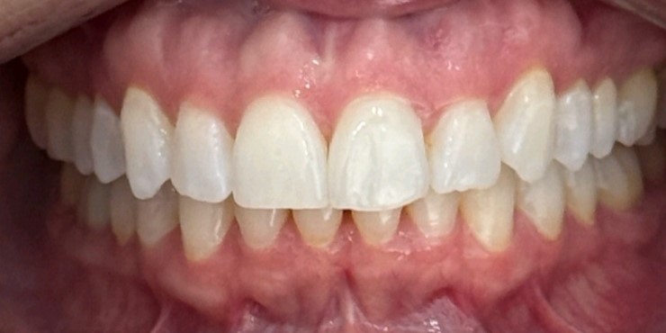
Transform Your Smile

We want to give you the beautiful smile that you have always wanted. If you are unhappy with the appearance of your teeth due to misalignment or discoloration, if you need to correct damage, or if you have missing teeth, we can address these issues, give you confidence, and make sure your teeth will be fully functional for years to come.

Alexandria Dental Art Alexandria Dental Art
Alexandria Dental Art Alexandria Dental Art
Alexandria Dental Art

Meet Dr. Shaghayegh Madani

Alexandria Dental Art

Since our dental practice was founded in 2014, our dentist, Dr. Madani, has worked to meet the needs of our patients and help them achieve their smile goals. She believes in treating patients with care and compassion, addressing any concerns they may have, easing their stress, and making sure they are as comfortable as possible. She uses the latest equipment and technology to ensure that patients can receive the best possible treatment while also providing amenities to improve their overall experience.

Invisalign Gold+ Member

Top Doctor Recognition

Back to Top