Alexandria Teeth Whitening Services
Cosmetic Dental Services in Alexandria, Virginia Helping You Achieve Whiter Teeth
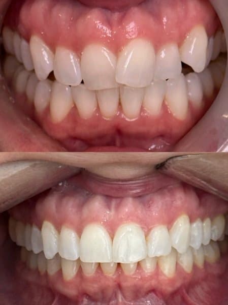
A bright, radiant smile can make a lasting impression while giving you confidence. However, over time, teeth often lose their natural whiteness due to issues such as diet, lifestyle, and age. If you are looking to restore or enhance the brightness of your smile, Alexandria Dental Art offers professional teeth whitening treatments that deliver exceptional results. Using advanced whitening gels and low-intensity light technology, our treatments are designed to safely and effectively reduce stains and discoloration, leaving you with a noticeably whiter smile after just one session.
Whiter teeth are not only a cosmetic enhancement, but they can also provide you with a boost to your confidence and self-image. At Alexandria Dental Art, we provide multiple types of cosmetic dentistry services in addition to teeth whitening. We can create a personalized care plan that will help you make sure your smile truly represents you.
How Our Cosmetic Dentist Can Help with Whitening
Professional teeth whitening is most effective when supervised by a dentist. Our cosmetic dentist will evaluate the condition of your teeth and gums, identify the causes of discoloration, and recommend the whitening approach that is best suited to your needs.
Our professional treatments use controlled concentrations of whitening agents and light activation for more predictable results, while minimizing sensitivity and protecting surrounding tissues. Our team will provide careful oversight throughout the process, ensuring that whitening will be as comfortable as possible while meeting your expectations.
Common Reasons for Tooth Discoloration
There are many reasons why your teeth may become discolored over time. Some of the most common include:
- Dietary Habits: Beverages like tea, coffee, wine, and soda can stain teeth.
- Tobacco Use: Smokers are more likely to experience brown or yellow stains on their teeth.
- Aging: The enamel on your teeth will usually get thinner as you get older, and the yellow dentin beneath can become more visible.
- Medications: Certain antibiotics and medical treatments can darken the enamel on your teeth.
- Poor Oral Hygiene: Inadequate brushing and flossing may allow plaque and tartar to accumulate, which can discolor your teeth.
- Trauma: Injuries to your teeth may cause them to darken over time.
Identifying the causes of staining is important, as it will ensure that our dentist can determine whether whitening will be effective or if another cosmetic treatment, such as veneers, might be more appropriate.
Benefits of Whiter Teeth
Whitening treatments provide numerous advantages. After teeth whitening, you may experience:
- Increased Confidence: A whiter smile can help you feel more comfortable in social and professional settings.
- Youthful Appearance: Bright, stain-free teeth can help you appear younger.
- Enhanced First Impressions: A bright smile can create a positive impact when meeting new people or pursuing job opportunities.
- Improved Oral Care: After investing in teeth whitening, you can make sure you maintain daily oral hygiene and avoid habits that could cause discoloration.
Teeth Whitening Procedures
At Alexandria Dental Art, we use a combination of whitening gel and low-intensity light to safely and effectively whiten teeth. The procedure typically involves the following steps:
1. Preparation and Evaluation
Our dentist will begin by examining your teeth and the surrounding gum tissue to ensure that whitening is appropriate and safe. Protective barriers may be applied to your gums and lips to shield them from the whitening agent.
2. Application of Whitening Gel
A professional-grade whitening gel will be carefully applied to your teeth. This gel penetrates the enamel in your teeth and breaks down stains at a molecular level.
3. Light Activation
A low-intensity light will be directed at your teeth to activate the whitening gel. This will accelerate the breakdown of stains, allowing for more dramatic and longer-lasting results.
4. Final Rinse and Aftercare Instructions
Once the desired shade is reached, the gel will be removed, and your teeth will be rinsed. We will provide you with aftercare instructions to ensure that you can maintain the results.
Maintaining Your Teeth After Whitening
While professional whitening can provide an immediate improvement to the appearance of your teeth, the results will last longer if you provide the proper ongoing care. Brushing and flossing regularly, receiving routine dental cleanings, and limiting exposure to stain-causing foods and drinks can help you keep the desired appearance. If necessary, we can perform touch-up whitening treatments to extend the brightness of your smile.
Contact Our Alexandria, Virginia Teeth Whitening Dentist
If you are ready to brighten your smile, the cosmetic dentist at Alexandria Dental Art can provide you with safe and effective teeth whitening treatments. Our Alexandria teeth whitening services will help you achieve a radiant smile in as little as one hour. Contact us today at 703-566-8799 to schedule your teeth whitening appointment and discover the difference that professional care can make.





