Alexandria Invisalign Treatments
Dental Practice Providing Invisalign Clear Aligners in Alexandria, Virginia
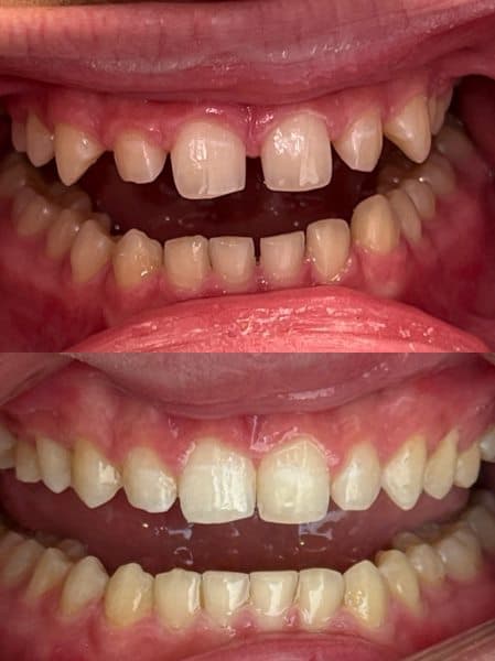
Crooked teeth can affect more than just your smile—they can lead to long-term oral health challenges if left untreated. At Alexandria Dental Art, we can help correct this issue through Invisalign, which provides a discreet and comfortable way to achieve straighter teeth. This modern orthodontic solution offers a virtually invisible treatment that can provide the path to the confident, healthy smile you deserve without the brackets and wires associated with traditional braces.
Many of our patients choose Invisalign for its convenience, subtle appearance, and proven ability to deliver results. The dental team at our practice will use advanced imaging and digital scanning technology to create Invisalign tooth straighteners customized for you, and we will guide you through every step of the process, from the initial consultation through the completion of your treatment.
Conditions Invisalign Can Treat
Invisalign is designed to address a wide range of tooth alignment and bite issues, using a series of custom-made, removable clear aligners. These aligners will gradually shift your teeth into the proper position. Invisalign can be a great solution if you suffer from dental problems such as:
- Crowded Teeth: Invisalign can help move teeth apart when there is not enough space in the jaw for all teeth to fit naturally.
- Gapped Teeth: If you have excess space between teeth, Invisalign can correct this issue by moving teeth closer together.
- Overbite: If your upper front teeth have an excessive overlap with the lower front teeth, Invisalign can help move them into the proper position.
- Underbite: If your lower front teeth sit in front of the upper teeth, Invisalign can correct this issue.
- Crossbite: If some upper teeth bite inside your lower teeth instead of outside, Invisalign can correct your bite.
- Open Bite: if your upper and lower teeth do not touch when your mouth is closed, Invisalign can be used to make sure you will be able to bite properly.
The Invisalign Process
The team at Alexandria Dental Art can help you determine whether Invisalign may be right for you. If you choose to use this treatment, we will take the following steps:
1. Initial Consultation
We will evaluate your overall oral health, assess the degree of tooth misalignment, and explain the Invisalign process in detail.
2. Digital 3D Scan and Treatment Plan
Using advanced scanners, we will create a precise 3D model of your teeth, providing highly accurate mapping to ensure that the proper alignment procedures can be used. The 3D model will also provide a preview of what your smile will look like once treatment is completed.
3. Custom Aligner Creation
Using the digital scans of your teeth, we will fabricate a series of aligners. These clear aligners will be designed for optimal comfort and control. You will wear each aligner for a few weeks before moving on to the next in the series.
4. Wearing and Monitoring
Aligners work best if they are worn for at least 22 hours each day, only being removed to eat, drink, brush, and floss. You will return to our office every six to eight weeks for progress evaluations and to receive the next set of aligners. These regular check-ins will ensure that treatment is progressing as planned and that we will be able to make adjustments as needed.
5. Completion and Retainers
Once treatment is complete, you will be provided with retainers that will help maintain your new tooth position and prevent shifting over time. Our dentist will guide you on how often to wear the retainers to ensure that you can maintain your results.
Invisalign vs. Braces: Why Patients Choose Clear Aligners
Many patients choose Invisalign due to the significant advantages it offers, including:
- Invisible Appearance: The aligners we fabricate are nearly unnoticeable, which makes them ideal for people who are concerned about the appearance of their smile.
- Comfortable Fit: Made from smooth plastic, Invisalign can reduce the risk of irritation to the gums and cheeks.
- Removable for Meals and Cleaning: Unlike braces, Invisalign can be taken out, allowing for normal eating and easier oral hygiene.
- Predictable Results: The advanced 3D scanning technology used in Invisalign treatment can provide a clear timeline and a visual preview of the expected results.
Long-Term Benefits of Invisalign Treatment
Beyond cosmetic improvement, Invisalign can help prevent future dental problems that often arise from misaligned teeth. When your teeth are properly aligned teeth, you will be able to clean them more easily, which can help prevent cavities, gum disease, or other oral health issues. When bite issues are corrected, this can prevent uneven tooth wear and relieve jaw tension or discomfort. At Alexandria Dental Art, our Invisalign treatments are not just about enhancing the appearance of your smile—they are also an investment in lasting oral health.
Contact Our Alexandria, Virginia Invisalign Dentist
To find out if Invisalign is the right option for you, schedule a consultation with the dentist at Alexandria Dental Art. We are ready to guide you through every step of the process, from your first 3D scan to your final aligner. Contact us at 703-566-8799 to learn more about our Alexandria Invisalign teeth straightening services and take the first step toward a straighter, healthier smile.





