Alexandria, VA Dentist for Periodontal Treatments
Dental Services to Help Address Gum Disease and Infections in Alexandria, Virginia
Healthy gums are essential for dental health. Unfortunately, gum disease is one of the most common oral health conditions affecting adults today. At Alexandria Dental Art, we provide periodontal treatments and other general dentistry services to help our patients prevent, manage, and repair the effects of gum infections and disease. By addressing gum concerns early and offering advanced treatment options when needed, our dental team helps patients protect their smiles and maintain long-term oral health.
How Gum Infections Can Develop
Gum infections are typically caused by the buildup of plaque, a sticky film of bacteria that forms on teeth. Plaque that remains on teeth can harden into tartar, and this can lead to irritation of the gums. This irritation can cause redness, swelling, and bleeding, which are the first signs of gingivitis.
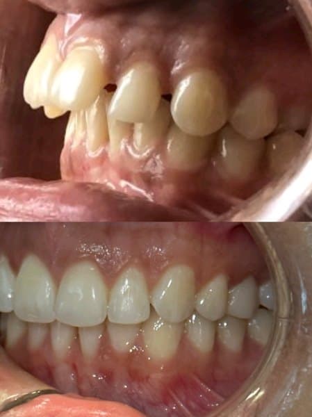
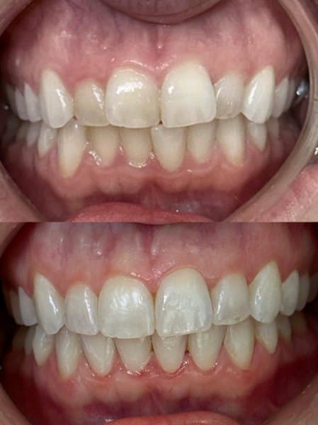
When it is not treated correctly, gum disease can damage the supporting bone and tissues around teeth. Over time, this can lead to gum recession, loose teeth, and even tooth loss. In addition to the way that these issues can affect oral health, research has shown links between gum disease and systemic conditions such as heart disease or diabetes. Proper periodontal care is critical to protect your overall well-being.
How Gum Disease Can Affect Patients
When gum infections progress, patients may experience issues such as:
- Persistent bad breath
- Red, swollen, or tender gums
- Bleeding when brushing or flossing
- Gum recession, making teeth appear longer
- Loose teeth or changes in bite alignment
- Discomfort when chewing
If you have encountered any of these issues, it is important to work with our team to make sure you can prevent further damage, restore your gums, and maintain good overall oral health.
Periodontal Treatments at Alexandria Dental Art
We provide a full range of periodontal services. Our treatments are designed not only to control infection but also to repair damage and strengthen the supporting structures of the teeth. They include:
Professional Teeth Cleaning
For patients with early-stage gingivitis, a thorough professional cleaning may be sufficient. During a cleaning, plaque and tartar will be removed from the teeth and gumline, helping gums return to a healthier state. Regular cleanings also serve as an important preventative measure against future gum infections.
Scaling and Root Planing
When gum disease has progressed, a deep cleaning procedure is often recommended. Scaling is used to remove plaque and tartar from the surface of teeth, including the areas that are below the gumline. Root planing will be performed on the roots of teeth, making their surfaces smoother to help prevent bacteria from accumulating. These procedures can also help the gums reattach to the teeth correctly. This nonsurgical treatment is effective for many patients with early to moderate gum disease.
Gum Surgery
In cases involving advanced gum disease, surgical intervention may be necessary to clean the infected areas beneath the gums or reduce deep pockets around teeth. Gum surgery will allow our dentist to access areas that cannot be effectively treated with deep cleaning alone, promoting healing and preventing further bone or tissue loss.
Bone Grafts
When gum disease causes bone loss around teeth, bone grafting may be recommended. This procedure uses natural or synthetic grafting material to stimulate new bone growth, restoring support for teeth and increasing the stability of dental implants when needed.
Gum Grafts
Gum recession can expose the roots of teeth, leading to sensitivity and an increased risk of decay. Gum grafting procedures use tissue from another part of the mouth to cover exposed roots, reduce sensitivity, and restore a natural appearance to the gumline.
Ongoing Maintenance
After periodontal treatments, ongoing preventative care is essential to prevent gum-related issues from recurring. At Alexandria Dental Art, we will schedule periodontal maintenance visits at the proper intervals, providing deep cleanings, monitoring of gum health, and personalized guidance for at-home care.
Comfort and Support During Treatment
We recognize that patients may worry about whether periodontal treatments will be painful and how long their effects will last. At Alexandria Dental Art, we focus on maintaining the comfort of our patients at every stage, using local anesthesia, advanced tools, and gentle techniques to minimize pain. Our dental team will explain each procedure clearly and provide aftercare instructions to support healing and long-term health.
Contact Our Alexandria Dentist for Gum Treatments
If you are experiencing symptoms of gum disease such as bleeding in the gums, swollen or painful tissue in the mouth, or gum recession, it is important to receive treatment as soon as possible. At Alexandria Dental Art, our periodontal services can help prevent further damage, repair affected tissues, and protect your oral health for years to come. To set up a consultation and learn how our Alexandria periodontal treatments can help you achieve healthier gums and a confident smile, contact us at 703-566-8799.





